Justyna Kowalczyk biega ze złamaną stopą! (FOTO)
Po wczorajszym biegu łączonym na 15 km, w którym Justyna Kowalczyk zajęła 6. miejsce, pojawiła się masa komentarzy sugerujących, że Kowalczyk biegła zachowawczo i nie ma formy na Igrzyska.
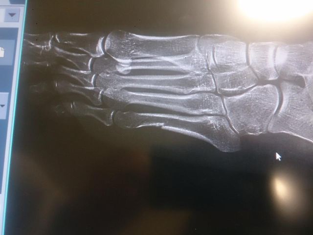
Zawodniczka najwyraźniej poirytowana poradami “ekspertów” wrzuciła na Facebooku rentgen swojej stopy.
Prześwietlenie mojej stopy. Wielowarstwowe złamanie. Z pozdrowieniem dla wszystkich “ekspertów” :)) Spokojnie, biegam dalej
– napisała Kowalczyk.
Jak widać, Igzrzyska w Soczi są pechowe dla kilku naszych zawodników. Nie skacze Piotr Żyła, zobacz: Żyła w Soczi: Doszłem do wniosku, że to nie pierwsza.., z chorobą walczy alpejczyk, Maciej Bydliński zobacz: Internauci nabijają się z Macieja Bydlińskiego.
Za wszystkich trzymamy kciuki i życzymy dużo sił!

Nie ma sie czym chwalić to tylko świadczy o glupocie!!!!
Co tu dużo mówić. Na wf-ie nie wolno ćwiczyć z jakąkolwiek kontuzją a tu zawodowy sportowiec, którego wiele osób ma za wzór robi takie głupstwo ! Niepoważne.
pokaazówka
Justynko twardzielko podziwiamy Cię z Mężęm jesteś wspaniała trzymamy kciuki !!!:)))
Myślę, że tylko idioci wymagają medali od kogoś, kto ma złamanie w stopie. Z drugiej strony co można powiedzieć o osobie, która biega z tym złamaniem… olimpiada, olimpiadą- zdrowie jest ważniejsze.
Nie wiem ule w tym prawdy, a ile zagrania takie jak Norweżki robią.
Lubie panią Justynę i życzę szczęscia, ale bieganie ze złamaną stopą jest nieodpowiedzialne i po prostu głupie..
gość, 09-02-14, 20:38 napisał(a):z tego co wiem jutro bd dalej biegać. na prawdę szanuję ją i jej osiągnięcia tyle że skoro ma złamaną stopę to nie powinna brać udziału na przeciwbólowych lekach, szkodzi sobie i w dodatku robi pokazówkę aby mówiono.a moze niech sama Justyna zadecyduje, a nie gimbaza z kozaka?olimpijka wie lepiej niz komentujące tutaj, prawda,
no i w pizdu będzie z nią spokój
gość, 09-02-14, 19:56 napisał(a):gość, 09-02-14, 17:48 napisał(a):gość, 09-02-14, 16:21 napisał(a):gość, 09-02-14, 15:33 napisał(a):do osób wyzywających Justynę od debili, bo dalej biega – lekarz powiedział, ze stan stopy raczej się nie pogorszy i może biegać, ale ból będzie wielki…wiec tylko można ją podziwiać, że pomimo bólu dalej chce walczyc! już sobie wyobrażam co by się działo jakby zrezygnowała, ludzie by ją zgnoili, chociaż jak wróci bez medalu będzie tak samo…tak źle, tak niedobrze :/Jak będzie z jej stopą po olimpiadzie to nie wiem i wątpie żeby nawet lekarz wiedział, natomiast dzisiaj podczas wywiadu na tvp mówiła,ze dostaje blokady przeciwbólowe i nie odczuwa tak tego bólu
Złamanie, złamaniem. Jej wybór i dopiero za jakiś czas okaże się, czy słuszny.Mnie po prostu ostatnio Justyna bardzo irytuje. Nic jej nie pasuje: tu nie taka trasa, tam nie taki dystans? Negatywny komentarz i zaraz się tłumaczy… skup się Justynko na sporcie a trochę mniej na narzekaniu bo Ci rywalki z Norwegii całkiem uciekną 🙂
Nastepnym razem bedzie lepiej.
Szkoda, bo dużo osiągnęła, a musi się tłumaczyć przed garstką cymbałów, których jedynym sportem jest przeturlanie się z pokoju do lodówki po kolejnego browarka.Smutne.
gość, 09-02-14, 20:35 napisał(a):Nie rozumiem tego …..,,tematu,, wszak wielokrotnie zawodnicy różnych dyscyplin występowali z kontuzją na własną odpowiedzialność.To jest sprawa zawodnika ,jeśli nie grozi pogorszeniem stanu zdrowia ,i najważniejsze to są zawody olimpijskie na które przygotowują się przez 4 lata .Dlatego śmieszy mnie zasiedziały w fotelu ekspert , który będzie tyrał do 67 lat bardzo często w stanie niemal wegetatywnym bo pracodawca może zwolnić z posadki .Zawodnik dobrej klasy w wieku 35040 lat jest na emeryturze z dodatkiem olimpijskim ,jest powód do walki nawet z bólem ,bo sponsor i dotacje mogą odpłynąć.dokładnie, ale tutaj wszyscy wiedzą lepiej, mają sie za trenerów, lekarzy, fizjoterapeutów i nie wiadomo co jeszcze
Jest mi zal, ze ona musi tak ciezko pracowac,zeby wspolzawodniczyc z teamem niby-astmatyczek. Paranoja. Sama kiedys mialam inhalator, to wiem,ze takie leki niesamowicie zwiekszaja zdolnosci oddychania, a wtym sporcie to oddychanie i wytrzymalosc sa najwazniejsze.
gość, 09-02-14, 20:52 napisał(a):gość, 09-02-14, 20:35 napisał(a):Nie rozumiem tego …..,,tematu,, wszak wielokrotnie zawodnicy różnych dyscyplin występowali z kontuzją na własną odpowiedzialność.To jest sprawa zawodnika ,jeśli nie grozi pogorszeniem stanu zdrowia ,i najważniejsze to są zawody olimpijskie na które przygotowują się przez 4 lata .Dlatego śmieszy mnie zasiedziały w fotelu ekspert , który będzie tyrał do 67 lat bardzo często w stanie niemal wegetatywnym bo pracodawca może zwolnić z posadki .Zawodnik dobrej klasy w wieku 35040 lat jest na emeryturze z dodatkiem olimpijskim ,jest powód do walki nawet z bólem ,bo sponsor i dotacje mogą odpłynąć.dokładnie, ale tutaj wszyscy wiedzą lepiej, mają sie za trenerów, lekarzy, fizjoterapeutów i nie wiadomo co jeszczedziękujemy za opinię dwóch ekspertów, możemy dalej kontynuować komentowanie, gdyż po to powstał ten artykuł.
gość, 09-02-14, 16:21 napisał(a):gość, 09-02-14, 15:33 napisał(a):do osób wyzywających Justynę od debili, bo dalej biega – lekarz powiedział, ze stan stopy raczej się nie pogorszy i może biegać, ale ból będzie wielki…wiec tylko można ją podziwiać, że pomimo bólu dalej chce walczyc! już sobie wyobrażam co by się działo jakby zrezygnowała, ludzie by ją zgnoili, chociaż jak wróci bez medalu będzie tak samo…tak źle, tak niedobrze :/Wiesz, jeszcze niedawno mówiła, że nie idzie do lekarza, bo nie chce się zniechęcać do zawodów. Sorry ale nie ma tak, że lekarz mówi, że spokojnie może sobie ze złamaną kościa brać udział w zawodach, przeciez to jest wielki wysiłek, obciążenie i jak najbardziej może się jej stan pogorszyć.racja i trzeba być półgłówkiem żeby wierzyć, że lekarz jej doradził bieganie ze złamaną nogą
gość, 09-02-14, 17:48 napisał(a):gość, 09-02-14, 16:21 napisał(a):gość, 09-02-14, 15:33 napisał(a):do osób wyzywających Justynę od debili, bo dalej biega – lekarz powiedział, ze stan stopy raczej się nie pogorszy i może biegać, ale ból będzie wielki…wiec tylko można ją podziwiać, że pomimo bólu dalej chce walczyc! już sobie wyobrażam co by się działo jakby zrezygnowała, ludzie by ją zgnoili, chociaż jak wróci bez medalu będzie tak samo…tak źle, tak niedobrze :/Wiesz, jeszcze niedawno mówiła, że nie idzie do lekarza, bo nie chce się zniechęcać do zawodów. Sorry ale nie ma tak, że lekarz mówi, że spokojnie może sobie ze złamaną kościa brać udział w zawodach, przeciez to jest wielki wysiłek, obciążenie i jak najbardziej może się jej stan pogorszyć.racja i trzeba być półgłówkiem żeby wierzyć, że lekarz jej doradził bieganie ze złamaną nogądobrze, że można wejść na kozaczka gdzie jest mnóstwo znawców i ekspertów, wiedzą lepiej nawet od Justyny co powinna, a co nie…nawet jesli jej stan sie pogorszy to tylko jej sprawa i skoro chce ryzykowac to prosze bardzo, kij wam do tego, chcielibyscie zeby zrezygnowala zeby jej to pozniej wypominac, ze nie dala rady itd itp
z tego co wiem jutro bd dalej biegać. na prawdę szanuję ją i jej osiągnięcia tyle że skoro ma złamaną stopę to nie powinna brać udziału na przeciwbólowych lekach, szkodzi sobie i w dodatku robi pokazówkę aby mówiono.
gość, 09-02-14, 17:07 napisał(a):gość, 09-02-14, 16:46 napisał(a):gość, 09-02-14, 15:33 napisał(a):do osób wyzywających Justynę od debili, bo dalej biega – lekarz powiedział, ze stan stopy raczej się nie pogorszy i może biegać, ale ból będzie wielki…wiec tylko można ją podziwiać, że pomimo bólu dalej chce walczyc! już sobie wyobrażam co by się działo jakby zrezygnowała, ludzie by ją zgnoili, chociaż jak wróci bez medalu będzie tak samo…tak źle, tak niedobrze :/wiesz co? zwyczajnie nie wierzę, że taką opinię wydał odpowiedzialny lekarz:-/ chyba konował jakiśnie wiem, ale wgl co to kogo obchodzi? skoro zdecydowała sie dalej startować tzn że nie zagraża to jej zdrowiu, chyba nie jest głupia…no właśnie jest, ewidentnie
Nie rozumiem tego …..,,tematu,, wszak wielokrotnie zawodnicy różnych dyscyplin występowali z kontuzją na własną odpowiedzialność.To jest sprawa zawodnika ,jeśli nie grozi pogorszeniem stanu zdrowia ,i najważniejsze to są zawody olimpijskie na które przygotowują się przez 4 lata .Dlatego śmieszy mnie zasiedziały w fotelu ekspert , który będzie tyrał do 67 lat bardzo często w stanie niemal wegetatywnym bo pracodawca może zwolnić z posadki .Zawodnik dobrej klasy w wieku 35040 lat jest na emeryturze z dodatkiem olimpijskim ,jest powód do walki nawet z bólem ,bo sponsor i dotacje mogą odpłynąć.
Ona jest ciągle obrażona…rozzłoszczona……ciągle jakieś pretensje…….Nie lubię jej…… Z godnością powinna już zakończyć ,,karierę,, sportowca!
gość, 09-02-14, 16:46 napisał(a):gość, 09-02-14, 15:33 napisał(a):do osób wyzywających Justynę od debili, bo dalej biega – lekarz powiedział, ze stan stopy raczej się nie pogorszy i może biegać, ale ból będzie wielki…wiec tylko można ją podziwiać, że pomimo bólu dalej chce walczyc! już sobie wyobrażam co by się działo jakby zrezygnowała, ludzie by ją zgnoili, chociaż jak wróci bez medalu będzie tak samo…tak źle, tak niedobrze :/wiesz co? zwyczajnie nie wierzę, że taką opinię wydał odpowiedzialny lekarz:-/ chyba konował jakiśnie wiem, ale wgl co to kogo obchodzi? skoro zdecydowała sie dalej startować tzn że nie zagraża to jej zdrowiu, chyba nie jest głupia…
gość, 09-02-14, 15:33 napisał(a):do osób wyzywających Justynę od debili, bo dalej biega – lekarz powiedział, ze stan stopy raczej się nie pogorszy i może biegać, ale ból będzie wielki…wiec tylko można ją podziwiać, że pomimo bólu dalej chce walczyc! już sobie wyobrażam co by się działo jakby zrezygnowała, ludzie by ją zgnoili, chociaż jak wróci bez medalu będzie tak samo…tak źle, tak niedobrze :/wiesz co? zwyczajnie nie wierzę, że taką opinię wydał odpowiedzialny lekarz:-/ chyba konował jakiś
Pomimo całej sympatii dla Justyny nie rozumiem po co pojechała tam ze złamaną stopą. Rywalizacja ma sens przy równych szansach – udział w Igrzyskach dla samego udziału jest bezcelowy.
Stara już jest i nie daje rady.
Pewnie jakby chodziło o kolejny konkurs PŚ to by nie startowała, ale to są IGRZYSKA! Przez 4 lata ciężko pracowała aby na nich jak najlepiej wypaść i teraz ma odpuścić? Tym bardziej że mogą to byc jej ostatnie IO?
gość, 09-02-14, 15:33 napisał(a):do osób wyzywających Justynę od debili, bo dalej biega – lekarz powiedział, ze stan stopy raczej się nie pogorszy i może biegać, ale ból będzie wielki…wiec tylko można ją podziwiać, że pomimo bólu dalej chce walczyc! już sobie wyobrażam co by się działo jakby zrezygnowała, ludzie by ją zgnoili, chociaż jak wróci bez medalu będzie tak samo…tak źle, tak niedobrze :/Wiesz, jeszcze niedawno mówiła, że nie idzie do lekarza, bo nie chce się zniechęcać do zawodów. Sorry ale nie ma tak, że lekarz mówi, że spokojnie może sobie ze złamaną kościa brać udział w zawodach, przeciez to jest wielki wysiłek, obciążenie i jak najbardziej może się jej stan pogorszyć.
najzabawniejsze jest to że ilekroć nie pójdzie jej na zawodach to szuka usprawiedliwienia w typie – coś nie tak z hotelem – złe warunki – boli mnie stopa – za mały pokój-itpnie umie przyznać ze po prostu sie nie udało
To jej sprawa, podjęła taką decyzję i inni powinni ją uszanować. Wytrwałości Pani Justyno!
i tu wlasnie nie mam do niej szacunku… jak ktos ma kontuzje nie startuje!! Justyno szanuj swoje cialo!! tylko wtedy osiagniesz sukces
w sumie jak zostanie kaleką to na własne życzenie- ku przetrodze innych…
wczoraj złamała, czy jeszcze przed wyjazdem do Soczi? bo jeśli wczoraj, to lekkomyslne są dalsze starty /może powstać trwały uraz nie do wyleczenia/ a jeśli wcześniej, to już popisała sie skrajną głupotą i arogancją wobec wszystkich:-/ i od jak dawna wie, że to złamanie a nie zwykłe stłuczenie jak nam podawano?
do osób wyzywających Justynę od debili, bo dalej biega – lekarz powiedział, ze stan stopy raczej się nie pogorszy i może biegać, ale ból będzie wielki…wiec tylko można ją podziwiać, że pomimo bólu dalej chce walczyc! już sobie wyobrażam co by się działo jakby zrezygnowała, ludzie by ją zgnoili, chociaż jak wróci bez medalu będzie tak samo…tak źle, tak niedobrze :/
gość, 09-02-14, 13:10 napisał(a):gość, 09-02-14, 13:08 napisał(a):gość, 09-02-14, 12:38 napisał(a):ale po CHUJ ona biega ze złamaną nogą?bo jak zwykle chce zrobić z siebie “męczennicę” jaka to ona biedna, ale się poświęca itd…nie debile bo żeby coś w życiu osiągnąć trzeba się poświęcać a nie jak wy w supermarkecie na kasie i na puselkuosiągnęła już bardzo wiele i nikomu nic nie musi udowadniać chyba tylko swojej chorej ambicji, totalny debilizm i tyle
gość, 09-02-14, 12:38 napisał(a):ale po CHUJ ona biega ze złamaną nogą?bo jak zwykle chce zrobić z siebie “męczennicę” jaka to ona biedna, ale się poświęca itd…
Totalnie jej odbiło. Żaden poważny sportowiec nie ryzykuje aż tak żeby ze ZŁAMANĄ kością brać udział w zawodach. Przecież może jeszcze bardziej pogorszyć swój stan i nigdy nie odzyskać formy. Tak, bardzo jej gratuluję. Głupoty.
wtf justa? o ch ci chodzi?
No i co z tego?
Po pierwsze sobie nie szkodzic….i w imie czego pani startuje z urazem konczyny?…juz udowodnilas Justyno,ze potrafisz walczyc i wygrywac,ale teraz czas na odpoczynek i zycie prywatne!
ale po CHUJ ona biega ze złamaną nogą?
Trzymam kciuki ale prawda jest taka, że Pani Justyna to osoba o trudnym charakterze. Jeszcze nie widziałam żadnego wywiadu z jej udziałem, w którym nie było złośliwości i ataków słownych na drugą osobę.
To jest prawdziwa siła, hart ducha i determinacja. Podziwiam Justynę choć niech nie wymaga tyle od siebie!
gość, 09-02-14, 13:08 napisał(a):gość, 09-02-14, 12:38 napisał(a):ale po CHUJ ona biega ze złamaną nogą?bo jak zwykle chce zrobić z siebie “męczennicę” jaka to ona biedna, ale się poświęca itd…nie debile bo żeby coś w życiu osiągnąć trzeba się poświęcać a nie jak wy w supermarkecie na kasie i na puselku
Sportsmenka z niej idealna, ale w kontakcie to bardzo antypatyczna, zarozumiała i niemiła osoba.Niemniej jednak trzymam kciuki żeby zdobyła jak najwięcej w Soczi i życzę zdrowia.